症例集

menu
〒674-0058 兵庫県明石市大久保町駅前1丁目10-17
tel.078-936-3330
はじめてのご相談・ご予約
今スグ、かんたんWEB予約
WEB問診票
line

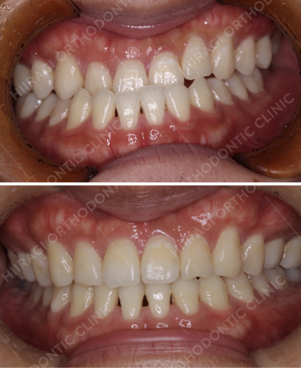
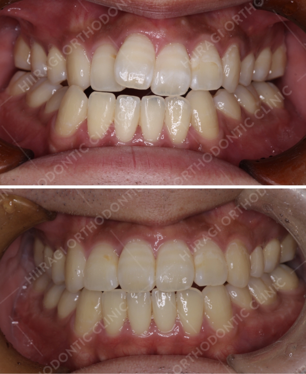
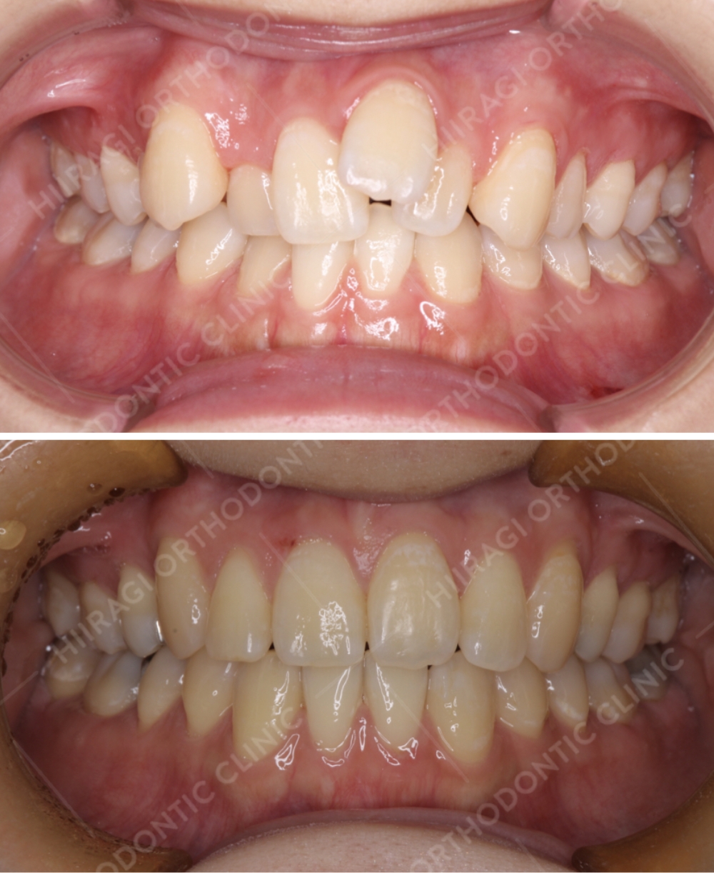
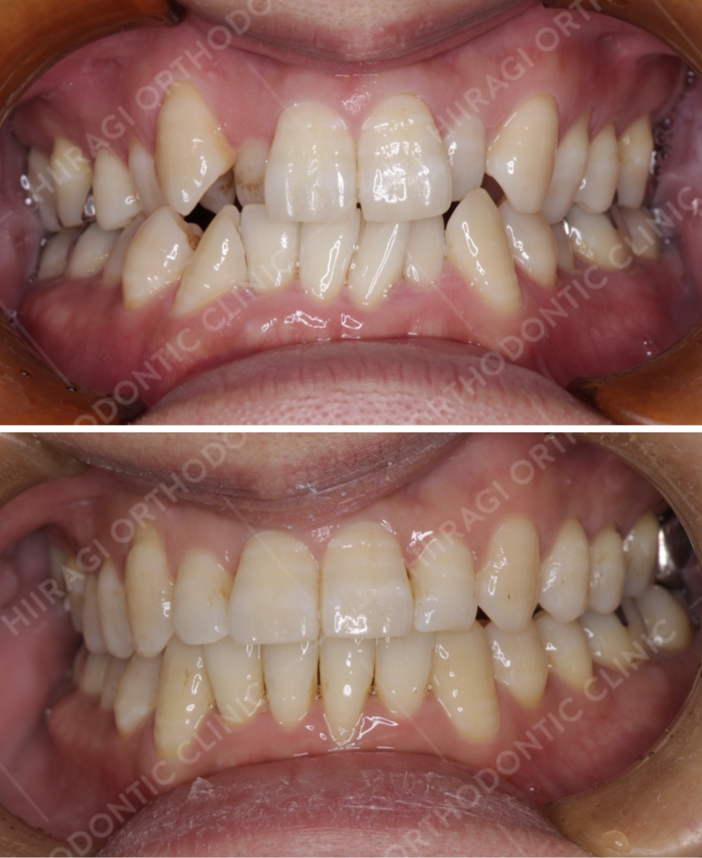
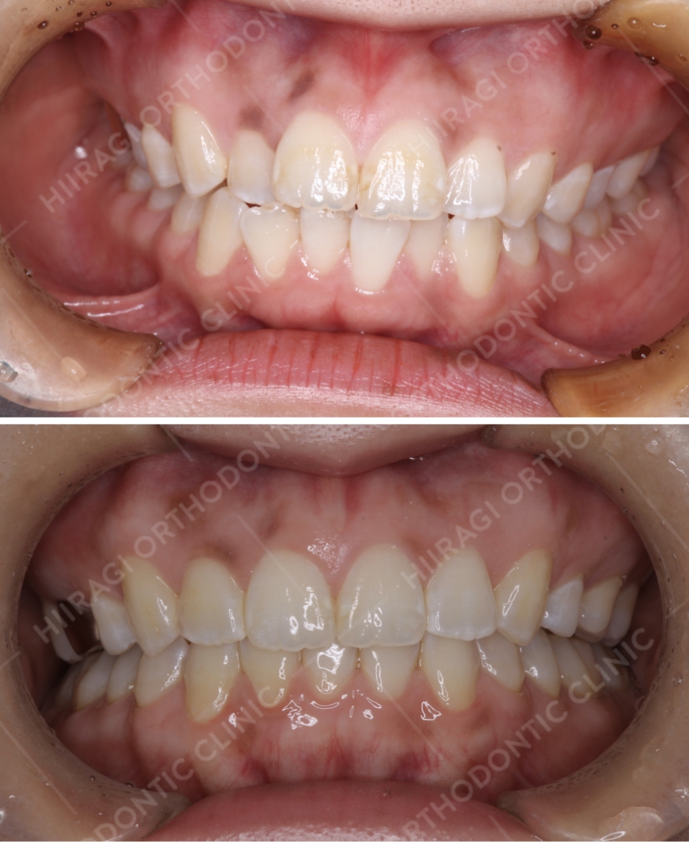
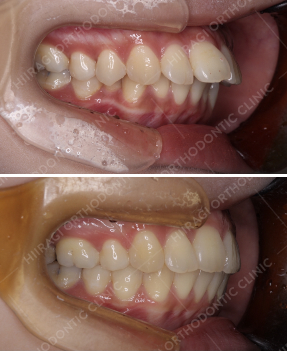
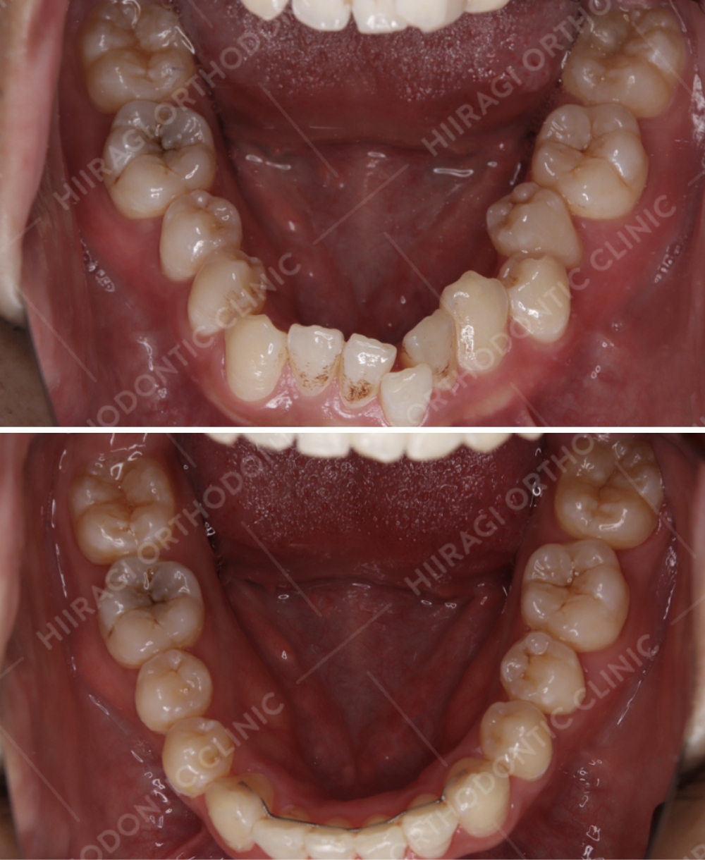
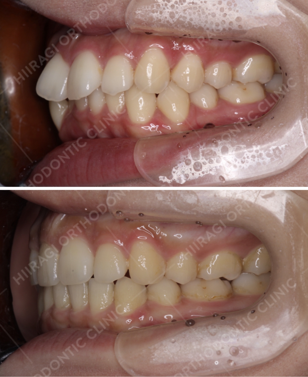
症例CASES

条件検索SEARCH

歯並びの状態

使用装置

抜歯/非抜歯