症例CASE
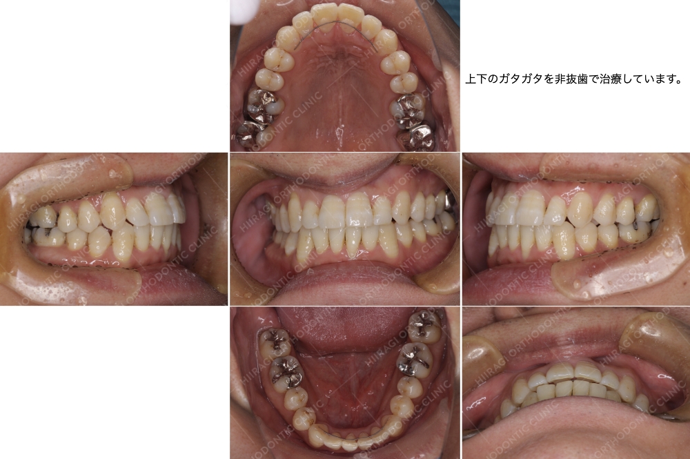
正中を合わせてガタガタを治したい
| 主訴 | ガタガタがあり歯が磨きにくい。 |
|---|---|
| 抜歯 | なし |
| 治療期間 | 3年4ヶ月 |
| 治療費 | |
| 性別 | 男性 |
| 年齢 | 29 歳 |
装置:唇側矯正装置(インシグニア)
治療の詳細TREATMENT DETAILS
リスク及び副作用
矯正治療では以下のリスクや副作用が考えられます。
- ・歯根吸収(歯の根が短くなる症状)
- ・歯肉退縮(歯茎が下がる症状)
- ・アンキローシス(歯と歯を支える骨が癒着し歯が動かなくなる症状)
- ・歯髄壊死(歯の神経が失活してしまう状態)
- ・顎関節症(顎の痛み)
