ブログBLOG
こどもの矯正治療。本当に必要?
2026.02.11
検診後に「今すぐ矯正が必要です」と言われ、不安になっとことはありませんか?この記事では、急に矯正治療を進められた際に判断にお役に立てるための“見極めの視点”をまとめます。誰かを責めるためではなく、保護者と子どもを守るための知識です。
そもそも「こどもの矯正治療」や「一期治療」と言われる矯正治療はどのような目的で行う治療なのでしょうか?
こどもの矯正治療は本格的な治療ではなく、本格的な治療に向けた準備治療といえます。
本格的な矯正治療とはマルチブラケットと呼ばれるブラケット+ワイヤーを用いた方法やマウスピース型の装置を使用する方法などがありますが、大人の歯(永久歯)を積極的に動かすことでかみ合わせの能力を高めることを目的としています。


ただ上顎前突(出っ歯)、下顎前突(受け口)、交叉咬合といった重症化してからでは治療が困難になるケースでは子供の成長力を期待して重症化予防を目指すケースもあります。
この成長を利用して重症化を予防する治療を「こどもの矯正」や「一期治療」と呼びます。対比する形で「大人の矯正」、「二期治療」と呼ぶのは一段階目として成長を利用した矯正治療を行い、二段階目として永久歯を動かす矯正治療で仕上げる方法が治療の成功率を高めるために有効なケースがあるからです。
また顎の成長は小学生の時期に旺盛になるため、この時期に実施することが多くあります。
参考症例:受け口を一期治療で治療したケース(7歳で開始し、8ヶ月の一期治療を実施)


どのようなケースは注意したほうがいいのか?
上顎前突(出っ歯)の方でも早期に治療が必要(外傷リスクが高いケース)もありますし、経過観察後に二期治療で一気に治してあげた方が本人への負担や期間が短くなるケースもあります。
結局、ケースバイケースなのですが「この治療の勧め方は問題だな。。。」と筆者が感じている勧め方に遭遇した場合には注意した方が賢明です。
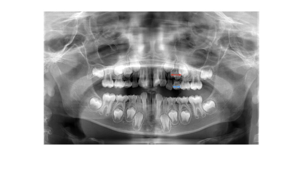
例①「このレントゲンを見れば“隙間がゼロ”。矯正が必要です」

「青矢印が乳歯」、「赤矢印が永久歯」「こんなに歯は大きくなるのに収まると思いますか?顎も小さいし。」「今すぐ始めないと間に合いません!」「6歳までが勝負です!」
このような治療の勧め方をされた場合には最大限注意しましょう。
- ポイント:パノラマX線は“サイズ測定に不向き”。拡大率や歪みが部位で異なり、歯の実寸やスペース量の確定には適さない。
以下にさきほどのレントゲン写真のお子様の乳歯と永久歯の大きさの違いを本人の歯の写真で見ていただきます。

青矢印が乳歯、赤矢印は永久歯です。写真も倍率の違いや撮影アングルによって見え方は異なりますが参考にはなります。
「レントゲンでは乳歯の方が永久歯よりも大きく見えていた」のが実際は「乳歯の方が永久歯よりも大きい」のです。
実は永久歯の方が乳歯よりも大きくなるのは前から数えて1〜3番目の永久歯までです。4番目、5番目に関しては永久歯の方が乳歯よりも小さくなるのです。
例②「顎が小さいので将来は抜歯です」
ポイント:顎は成長で変化します。
さきほどの写真を別の視点で見てみましょう。

黄色の円で囲った部分の歯茎が膨らんでみえますでしょうか?
乳歯よりも永久歯の方が歯根(歯の根っこ)は大きくなるため、骨の幅は「永久歯が生えてくるタイミング」で大きくなっていきます。例にあげた歯は犬歯と呼ばれますが9歳以降に生えてくる目安の永久歯です。「6歳までに顎の成長が終わるので勝負は6歳まで!」という話には根拠がないことを示しています。
「急かし」に出会ったときのセーフティライン
・その日に契約を求められない(見積・資料は持ち帰れる)
・データの役割と限界を説明してくれる(パノラマ=全体像、サイズ=模型/スキャン、骨格=セファロ)
・経過観察プランが提示される(6〜12か月ごとの再評価、同条件写真で比較)
・「装置あり/なし」両方の道筋が示される
早期介入が有利な“例外サイン”
上記の文面から「こどもの矯正治療は不要」と主張しているわけではありません。なるべく早期に治療介入してあげた方が良い成長曲線を描けるケースもあります。
- 上顎前突(外傷リスクが高い)
- 反対咬合(受け口):重症化予防のため早期対応が有効
- 歯肉退縮の傾向がある症例
- 交叉咬合:顎の左右差・歪みの遠因になりうる
例外は他にも存在はします。やはり医療である以上、マニュアル通りではいかないことも多くありますので最終判断はケースバイケースという結論ではあります。
まとめ
→ 迷ったら一度相談を。装置をすぐ入れるのではなく、観察・生活習慣の修正で改善することもあります。
記事監修歯科医師
堀畑 篤史
- 平成18年 朝日大学歯学部卒業
- 平成23年 広島大学 大学院 矯正歯科学分野卒業
- 平成28年 ひいらぎ矯正歯科開院
- 歯学博士 日本矯正歯科学会認定医
