ブログBLOG
矯正治療でほうれい線が深くなったり、人中が延びたりしますか?
2025.12.05

多くの方は、矯正治療そのものが直接の原因で急にほうれい線が深くなったり、人中が「物理的に伸びる」ことはありません。見え方の変化は、唇を支える歯の位置や光の影の出方、撮影条件、そして加齢や体重変化などが影響します。当院では、前歯の角度・前後位置を数値で評価し、過度な後退(引っ込み)を避ける治療計画で予防します。
なぜこの不安がよく語られるの?
SNSでは「抜歯=口元が下がって老ける」「人中が伸びる」といった表現が拡散されがちです。ですが、実際には次のような要因が組み合わさっていると考えられます。
- 唇の“支え”の変化:上の前歯の角度や位置が変わると、唇の張り出し(ボリュームの見え方)が変化します。
- 光と影の強調:照明やカメラ設定が変わると、ほうれい線の“影”が強く見えることがあります。
- 表情・姿勢:笑顔の作り方、噛み合わせの力み、頭位の傾きで頬の影は大きく変化します。
- 時間要因:治療期間中の加齢や体重変化、スキンケア・睡眠・咀嚼習慣など生活要因も影響します。
推測される原因
以下のような要因があると、見え方が“老けた”と解釈されやすくなります。
- 上顎前歯の過度な後退や舌側傾斜
→ 唇の張り出しが減り、影が強調されることがある - 唇の厚みが薄い/もともと突出が少ない
→ 変化が相対的に目立ちやすい - 骨格的に上顎が後方位
→ 追加の後退が顔貌に影響しやすい
重要:どのような変化を目指すのか?といった治療目標は患者さん毎に全く違います。同じ“抜歯”でも、前歯の角度や移動量、歯の傾きを変えるトルクコントロールなどによって結果は大きく異なります。当院では口元の変化には上顎前歯の位置決めが非常に重要だと考えております。
当院の方針:変化の“見える化”と過剰な後退の回避
当院では、歯の変化を予測・共有しながら計画します。
同条件での写真比較(照明・距離・表情)で“印象”ではなく記録で評価
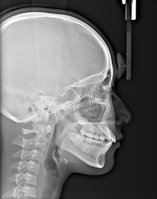
検査(資料採得)
写真:正面/側貌/スマイル(同一照明・同一距離)
口腔内スキャン(型取りが苦手な方も負担が軽減されます)
側面頭部X線(セファロ)や歯科用CTレントゲン(CBCT)

分析
上顎前歯の角度や前後位置を◯度・◯mmと数値で評価(例:上顎前歯の傾き・唇からの距離など)
横顔の指標(Eライン、ナゾラビアルアングルなど)で口元のバランスを確認
治療計画
目標とする前歯位置を決め、過剰な後退を避ける計画に
必要に応じて**矯正用アンカー(TADs)**などでコントロールを強化
見え方の共有
3Dシミュレーションや横顔ラインで変化の方向性を事前に説明


経過の比較
- 検査(資料採得)
- 写真:正面/側貌/スマイル(同一照明・同一距離)
- 口腔内スキャン(型取りが苦手な方も負担が軽減されます)
- 側面頭部X線(セファロ)や歯科用CTレントゲン(CBCT)
- 分析
- 上顎前歯の角度や前後位置を◯度・◯mmと数値で評価(例:上顎前歯の傾き・唇からの距離など)
- 横顔の指標(Eライン、ナゾラビアルアングルなど)で口元のバランスを確認
- 治療計画
- 目標とする前歯位置を決め、過剰な後退を避ける計画に
- 必要に応じて**矯正用アンカー(TADs)**などでコントロールを強化
- 見え方の共有
- 3Dシミュレーションや横顔ラインで変化の方向性を事前に説明
- 経過の比較
- 同条件での写真比較(照明・距離・表情)で“印象”ではなく記録で評価
まとめ
- 変化の鍵は装置の種類より“診断と治療計画”。
- 当院は、数値に基づく診断と見え方の事前共有で、過度な後退を避けます。
- 不安や疑問はそのまま伝えてOKです。似た症例の写真をお見せながら、根拠を示しながらお答えします。
ご予約・お問い合わせ:[初回相談はこちら]https://hiiragi-kyousei.com/about-appointment/
用語メモ(患者さん向け)
- セファロ:横顔のX線写真。歯や骨の位置関係を角度・距離で測定できます。
- Eライン:鼻先と顎先を結ぶ線。唇がその線の前後どの位置にあるかで横顔の印象を確認します。
- TADs(矯正用アンカースクリュー):歯の移動方向を精密にコントロールする補助装置。
